初审编辑:梁阳
责任编辑:郑云歌
大众网记者 丛溦 威海报道
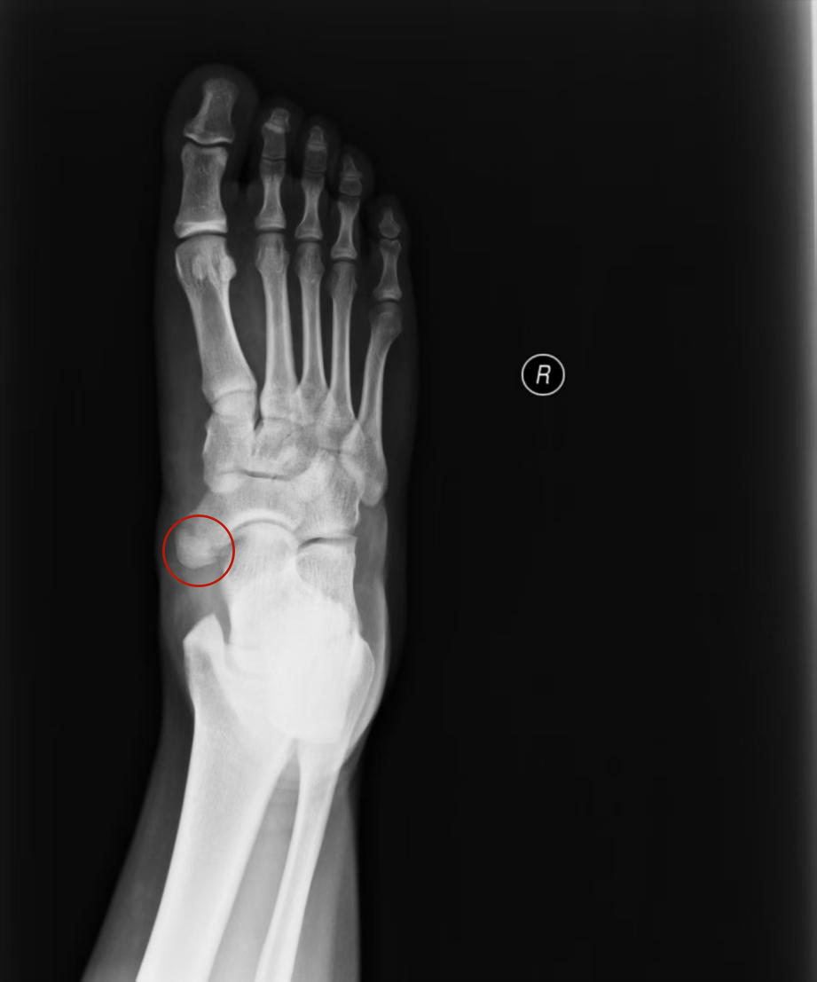
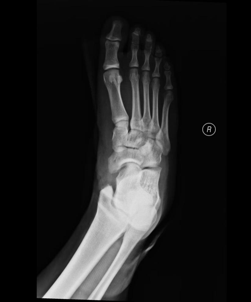
22岁的小秦,曾经是朋友圈里的“活力担当”。但近两年,他足弓内侧那个恼人的肿痛,却像一道无形的枷锁,把奔跑跳跃的快乐越推越远。穿鞋时小心翼翼的试探,走路久了钻心的酸痛,连最爱的运动都成了奢望。辗转尝试过各种药物和支具,效果却时好时坏。直到在威海卫人民医院关节骨病科,副主任丛培阳指着他足部的X光片清晰指出:“这是副舟骨在‘抗议’,保守治疗无效的情况下,微创切除手术能帮你解决问题。”
足弓里的“编外成员”:认识副舟骨
我们通常所说的“脚踝骨”结构精妙,而副舟骨正是其中一种并不少见的解剖变异。你可以将它想象成足部正常舟骨旁一个“多余的”小骨块,位于足弓内侧、紧邻踝关节前方。它是先天发育过程中的一点“小意外”,研究显示约4%-21%的人存在这块小骨头。

为何疼痛?
副舟骨本可“安静共存”,但以下因素常引发疼痛,称为副舟骨综合征。
位置关键:它恰好位于胫后肌腱主要附着点附近。这块小骨的存在可能改变肌腱走行或力学分布,反复摩擦、牵拉导致炎症和疼痛。
外力刺激:运动损伤、长时间行走奔跑、穿着过紧或不合适的鞋子压迫摩擦副舟骨表面。
结构不稳:副舟骨与主舟骨间的纤维连接在受力时可能产生异常微动,引发疼痛。
明察秋毫:副舟骨痛的诊断
关节骨病科楚晓丰主任强调,精准诊断是治疗的前提。
症状识别:典型表现为足弓内侧(尤其舟骨位置)的局限性疼痛、肿胀、压痛。提踵(踮脚尖)、长时间行走或特定运动后加剧。严重时可见局部明显骨性凸起并发红。
影像学证据:足部X光片是基础,能清晰显示副舟骨的存在、大小、形态及其与主舟骨的关系。MRI 则能进一步评估胫后肌腱及周围软组织的损伤、炎症水肿程度,为制定治疗方案提供关键依据。
何时需要“减法”手术
手术绝非首选,但符合以下情况的患者需考虑:
疼痛顽固:持续疼痛(通常超过6个月)严重影响日常生活、工作或运动爱好。
保守无效:严格、规范的保守治疗(包括充分休息、定制矫形鞋垫、物理治疗、抗炎药物、局部封闭等)效果不佳或反复发作。
结构损伤:影像学明确显示副舟骨导致胫后肌腱明显磨损、变性或撕裂。
外观与功能诉求:局部畸形凸起明显且引发穿鞋困难或强烈美观需求。
微创“拆弹”:副舟骨切除术
对于像小秦这样符合手术指征的患者,副舟骨切除术是公认的有效解决方案。
手术核心:通过一个3cm的微创切口,精确定位并完整切除引发问题的副舟骨。
肌腱修复:关键步骤在于将原本附着在副舟骨上的胫后肌腱止点,牢固地重建缝合到正常的足舟骨上,恢复其维持足弓的生物力学功能。
精准高效:手术通常在局部麻醉或椎管内麻醉下进行,创伤小、出血少。

循序渐进:术后康复之路
切除只是开始,科学康复决定最终效果。小秦在康复团队指导下经历了:固定期(术后约4-6周):佩戴行走靴或石膏,使用拐杖部分负重行走,保护修复的肌腱。康复期(术后4-8周起):在康复师指导下,逐步开始:关节活动度训练:轻柔的踝关节屈伸、内外翻练习。肌力训练:循序渐进加强小腿三头肌、胫后肌等力量(如弹力带抗阻、提踵练习)。本体感觉训练:单腿站立等,恢复足踝平衡控制能力。恢复期(术后约3个月后):根据恢复情况,逐步增加运动强度,最终回归跑步、跳跃等活动。全程需遵医嘱,个体差异大,切勿冒进。
关节骨病科提醒您:
足内侧顽固肿痛,莫轻视“副舟骨”作祟。保守治疗是基石,但当疼痛成为枷锁,微创切除联合肌腱重建术已被证明是安全有效的“破局之钥”。及时就医,精准评估,我们以专业守护您“足”够稳健的步伐。
初审编辑:梁阳
责任编辑:郑云歌